
Echokardiografie: alles über Ablauf, Anwendung und Auswertung
Die Echokardiografie ist eine bildgebende Untersuchung, die es ermöglicht, die Struktur und Funktion des Herzens zu beurteilen. Sie wird eingesetzt, um Herzerkrankungen zu diagnostizieren, den Zustand der Herzklappen zu beurteilen und die Pumpfunktion des Herzens zu messen. Die Untersuchung ist schmerzfrei, nicht-invasiv und neben dem EKG die häufigste Untersuchung in der Kardiologie.
Wie wird eine Echokardiografie durchgeführt?
Die Durchführung einer Echokardiografie ist unkompliziert und erfolgt in mehreren Schritten:
- Vorbereitung: Der Patient liegt in Linksseitenlage. Ein spezielles Gel wird auf die Brust aufgetragen, um eine gute Leitfähigkeit für die Ultraschallwellen zu gewährleisten.
- Durchführung: Der Arzt bewegt einen Ultraschallkopf (Transducer) über die Brust des Patienten. Dieser Transducer sendet Ultraschallwellen aus, die von den Herzstrukturen zurückgeworfen und in Echtzeit als Bilder auf einem Monitor dargestellt werden. Die Untersuchungsdauer ist abhängig vom Erfahrungsstand des Untersuchers und vom Befund, in der Regel zwischen 10-30 Minuten.
- Nachbereitung: Nach der Untersuchung wird das Gel von der Haut entfernt und der Befund besprochen.
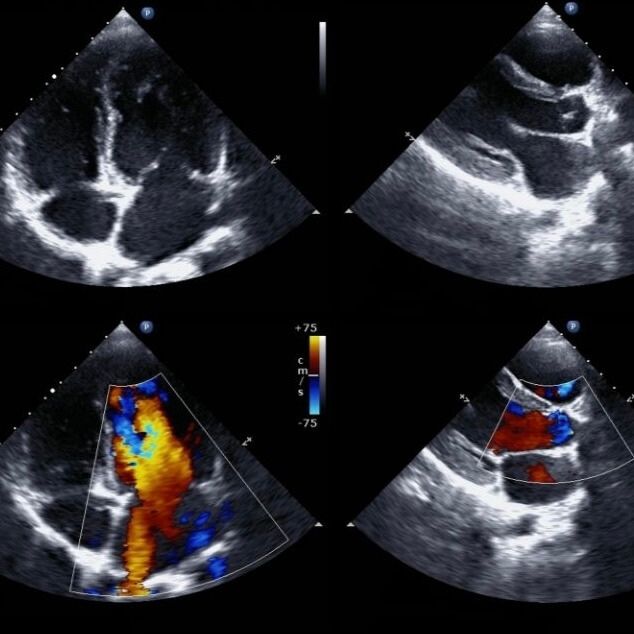
Wie wird eine Echokardiografie ausgewertet?
Die Auswertung erfolgt simultan zur Untersuchung. Es werden Veränderungen in der Herzgröße, die Dicke der Herzwände, die Pumpfunktion des Herzens ebenso wie die Entspannungsfunktion des Herzmuskels ermittelt. Besonders bei der Doppler-Echokardiografie ist es wichtig, den Blutfluss durch die Herzklappen zu überprüfen, um eventuelle Klappenfehler zu graduieren.
Je nach Befund kann die Echokardiografie dazu beitragen, den Schweregrad einer Herzerkrankung wie Herzinsuffizienz festzustellen und die weitere Behandlung zu planen. In einigen Fällen sind zusätzliche Untersuchungen erforderlich, um eine genaue Diagnose zu stellen oder die beste Behandlungsoption zu ermitteln.
Welche Fragen haben Patienten häufig zur Echokardiografie?
Frage |
Antwort |
|---|---|
|
Muss ich für die Echokardiografie nüchtern sein? |
Für die transthorakale Echokardiografie ist das nicht erforderlich, für die transösophageale Echokardiografie jedoch schon. |
|
Ist die Echokardiografie schmerzhaft? |
Nein, die Untersuchung ist schmerzfrei und nicht-invasiv. |
|
Wie lange dauert eine Echokardiografie? |
Die Untersuchung dauert in der Regel etwa 10 bis 30 Minuten. |
|
Was passiert, wenn während der Echokardiografie Auffälligkeiten festgestellt werden? |
Ihr Arzt wird die Ergebnisse mit Ihnen besprechen und gegebenenfalls weitere Untersuchungen oder Behandlungen empfehlen. |
|
Kann die Echokardiografie alle Herzprobleme erkennen? |
Die Echokardiografie liefert viele Informationen, aber in einigen Fällen sind zusätzliche Untersuchungen erforderlich. |
|
Ist eine Echokardiografie bei jedem Patienten möglich? |
Ja, die Untersuchung kann bei fast jedem Patienten durchgeführt werden, allerdings gibt es bei der transösophagealen Echokardiografie einige Kontraindikationen. |
|
Wie bereite ich mich auf eine transösophageale Echokardiografie vor? |
Sie sollten nüchtern sein und Ihr Arzt wird Ihnen genaue Anweisungen geben, wie Sie sich vorbereiten sollen. |
|
Kann ich nach der Echokardiografie sofort nach Hause gehen? |
Ja, nach der transthorakalen Echokardiografie können Sie sofort nach Hause gehen. Nach der transösophagealen Untersuchung sollten Sie jedoch noch eine Weile überwacht werden, weil ähnlich wie bei einer Magenspiegelung häufig ein Schlafmittel verabreicht wird. |
|
Wie wird der Blutfluss in der Echokardiografie gemessen? |
Der Blutfluss wird mittels Doppler-Echokardiografie. |
|
Was ist der Unterschied zwischen der transthorakalen und der transösophagealen Echokardiografie? |
Bei der transthorakalen Echokardiografie wird der Ultraschallkopf auf die Brust aufgesetzt, während er bei der transösophagealen Untersuchung eine Sonde in die Speiseröhre eingeführt wird. |
|
Kann die Echokardiografie die Herzfunktion unter Belastung überprüfen? |
Ja, die Stress-Echokardiografie ermöglicht die Beurteilung der Herzfunktion unter Belastung. |
|
Gibt es Risiken bei der Echokardiografie? |
Die transthorakale Echokardiografie ist sehr sicher. Die transösophageale Echokardiografie hat geringe Risiken, die Ihnen Ihr Arzt vorher erläutern wird. |
|
Kann die Echokardiografie auch bei Kindern durchgeführt werden? |
Ja, die Untersuchung kann in jedem Alter durchgeführt werden. Für Kinder gibt es speziell ausgebildete Kinderkardiologen. |
|
Wie schnell bekomme ich die Ergebnisse der Echokardiografie? |
Die Ergebnisse werden in der Regel unmittelbar nach der Untersuchung besprochen. |
|
Was sollte ich nach einer Stressechokardiografie beachten? |
Sie sollten sich nach der Untersuchung ausruhen, besonders wenn Medikamente zur Belastung eingesetzt wurden. |
|
Wann sollte ich eine Echokardiografie wiederholen lassen? |
Ihr Arzt wird Ihnen empfehlen, ob und wann eine erneute Untersuchung notwendig ist. |
|
Kann die Echokardiografie bei der Diagnose von Herzklappenerkrankungen helfen? |
Ja, die Echokardiografie ist die entscheidende Methode zur Diagnose und Einstufung von Herzklappenerkrankungen. |
|
Wie häufig sollte eine Echokardiografie durchgeführt werden? |
Die Häufigkeit hängt von Ihrer Herzgesundheit und den Empfehlungen Ihres Arztes ab. |
|
Wird die Echokardiografie auch in der Notfallmedizin eingesetzt? |
Ja, sie wird oft in Notfallsituationen verwendet, um schnell Informationen über die Herzfunktion zu erhalten. |
Terminvereinbarung, Anschrift und Sprechzeiten
Gesundheitszentrum Margetshöchheim
Praxis Dr. Heckel & KollegInnen
Dr. med. Noah Beuermann
Zeller Straße 2
97276 Margetshöchheim
0931 / 46909

Montag
Dienstag
Mittwoch
Donnerstag
Freitag
12 - 18 Uhr
12 - 18 Uhr
nach Vereinbarung
12 - 19 Uhr
8 - 13 Uhr
Gesundheitszentrum Margetshöchheim
Praxis Dr. Heckel & KollegInnen
Dr. med. Noah Beuermann
Zeller Straße 2
97276 Margetshöchheim
0931 / 46909

Montag 12 - 18 Uhr
Dienstag 12 - 18 Uhr
Mittwoch nach Vereinbarung
Donnerstag 12 - 19 Uhr
Freitag 8 - 13 Uhr

